
Haluksy: Co to jest? Przyczyny, objawy i skuteczne leczenie.
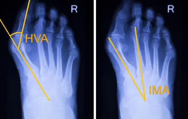
Haluksy: Co to jest paluch koślawy? Poznaj przyczyny, objawy i skuteczne metody leczenia od zachowawczych po operacyjne. Sprawdź nasz przewodnik!

Haluksy: Co to jest paluch koślawy? Poznaj przyczyny, objawy i skuteczne metody leczenia od zachowawczych po operacyjne. Sprawdź nasz przewodnik!

Gdzie kupić apteczkę domową? Porównaj apteki, drogerie i online. Dowiedz się, co wybrać: gotowy zestaw czy samodzielne kompletowanie. Sprawdź ceny i porady eksperta!

Jak spać po operacji haluksa? Poznaj sprawdzone porady na komfortowy sen: prawidłowe ułożenie nogi, walka z bólem i ochrona stopy. Zadbaj o regenerację!

Sprawdź, ile wynosi refundacja na wózek inwalidzki z NFZ i PFRON. Poznaj aktualne kwoty do 27 500 zł, zasady i kroki, by uzyskać dofinansowanie. Kompletny przewodnik!

Apteczka w gabinecie stomatologicznym to podstawa bezpieczeństwa. Sprawdź, jakie leki i sprzęt są obowiązkowe wg NIL i jak przygotować się na stany nagłe.

Wybierz lek na gorączkę świadomie! Porównaj paracetamol, ibuprofen i inne opcje. Sprawdź, jak bezpiecznie dawkować i kiedy iść do lekarza.

Szukasz wózka dla seniora? Odkryj, jak wybrać idealny model: od stalowych po elektryczne. Sprawdź dofinansowanie NFZ i PFRON. Pełen komfort!

Leki na depresję działają! Poznaj ich skuteczność, mechanizm działania i obal mity. Sprawdź, czego się spodziewać po farmakoterapii.

Operacja haluksa krok po kroku: od przygotowań, przez zabieg (znieczulenie, techniki), po rekonwalescencję. Zmniejsz obawy i dowiedz się, co Cię czeka!

Haluksy bez operacji? Poznaj skuteczne domowe sposoby, ćwiczenia, ortezy i wkładki. Złagodź ból i zahamuj postęp deformacji. Sprawdź, jak dbać o stopy!