Ból po operacji haluksa: Co jest normą, a co powinno martwić?
Ból po operacji haluksa: poznaj harmonogram rekonwalescencji, etapy bólu i skuteczne metody łagodzenia. Dowiedz się, co jest normą, a co powinno martwić.
W tej kategorii zgłębiamy różnorodne tematy związane z ortopedią i zdrowiem, które mają na celu poprawę jakości życia. Znajdziesz tu artykuły dotyczące najnowszych badań, porad dotyczących rehabilitacji, a także praktyczne wskazówki dotyczące zdrowego stylu życia. Nasze teksty są pisane z pasją i zrozumieniem, aby pomóc Ci lepiej zrozumieć zagadnienia ortopedyczne oraz ich wpływ na codzienne funkcjonowanie. Zachęcamy do zanurzenia się w nasze treści, które są pełne cennych informacji i inspiracji, a także do dzielenia się swoimi doświadczeniami. Twoje zdrowie jest dla nas ważne, dlatego wspólnie poszukajmy najlepszych rozwiązań dla Twojego komfortu i dobrego samopoczucia.
Ból po operacji haluksa: poznaj harmonogram rekonwalescencji, etapy bólu i skuteczne metody łagodzenia. Dowiedz się, co jest normą, a co powinno martwić.
Bolące haluksy? Odkryj domowe sposoby na ulgę, skuteczne ćwiczenia i leczenie zachowawcze. Dowiedz się, kiedy iść do lekarza i jak zapobiegać bólowi.
Haluksy to problem? Odkryj skuteczne metody walki: od ćwiczeń i fizjoterapii po operacje. Poznaj przyczyny, objawy i zapobieganie. Sprawdź, jak odzyskać komfort!
Odkryj kompleksowy przewodnik po ćwiczeniach po operacji haluksa. Poznaj 3 etapy rehabilitacji, zasady bezpieczeństwa i unikaj błędów. Wróć do sprawności!
Operacja haluksów na NFZ? Sprawdź, jak krok po kroku zorganizować zabieg, gdzie szukać najkrótszych kolejek i na co zwrócić uwagę. Twój przewodnik.
Zapalenie haluksa? Poznaj objawy, przyczyny i 4 domowe sposoby na ból. Dowiedz się, kiedy pilnie iść do lekarza. Sprawdź, jak sobie pomóc!
Ukryj haluksy stylowo i bez bólu! Odkryj, jak dobrać obuwie, akcesoria i modne fasony, by odzyskać komfort. Sprawdź porady eksperta.
Zastanawiasz się, jak działają plastry na haluksy? Odkryj, czy leczą deformację, czy tylko łagodzą ból. Poznaj typy, mechanizmy i porady. Sprawdź!
Jak wyleczyć haluksy? Poznaj kompleksowy przewodnik po metodach zachowawczych i operacyjnych. Złagodź ból, zatrzymaj postęp i wróć do sprawności. Sprawdź!
Zastanawiasz się nad operacją haluksa? Sprawdź kompleksowy przewodnik: metody, przygotowanie, rekonwalescencja i koszty zabiegu.
Haluksy: czy można je wyleczyć? Poznaj prawdę o metodach zachowawczych i operacji. Dowiedz się, kiedy tylko chirurgia skoryguje wadę stopy.
Jak boli haluks? Poznaj charakter bólu, objawy towarzyszące i sygnały alarmowe. Dowiedz się, kiedy szukać pomocy i jak złagodzić dyskomfort.
Złagodź ból haluksów! Poznaj najlepsze maści z apteki i sprawdzone domowe okłady z jodyny, octu czy arniki. Sprawdź, jak odzyskać komfort.
Zastanawiasz się nad operacją haluksów? Poznaj wskazania, koszty (NFZ vs. prywatnie), metody, rekonwalescencję i ryzyka. Podjęcie świadomej decyzji nigdy nie było prostsze!
Odkryj skuteczne sposoby na haluksy! Poznaj domowe metody, ćwiczenia, aparaty korekcyjne, fizjoterapię i nowoczesne operacje. Sprawdź koszty i rekonwalescencję.
Haluksy: Co to jest paluch koślawy? Poznaj przyczyny, objawy i skuteczne metody leczenia od zachowawczych po operacyjne. Sprawdź nasz przewodnik!
Od czego robią się haluksy? Poznaj główne przyczyny, wczesne objawy i skuteczne metody profilaktyki. Sprawdź, jak zadbać o stopy!
Wybierz idealne sandały na haluksy! Poznaj 7 zasad komfortu i stylu. Odkryj modne fasony i praktyczne porady eksperta. Koniec z bólem latem!
Jak spać po operacji haluksa? Poznaj sprawdzone porady na komfortowy sen: prawidłowe ułożenie nogi, walka z bólem i ochrona stopy. Zadbaj o regenerację!
Poznaj kompleksowy przewodnik po haluksach! Odkryj domowe sposoby, leczenie zachowawcze i operację. Dowiedz się, jak skutecznie pozbyć się bólu i deformacji.
Operacja haluksa krok po kroku: od przygotowań, przez zabieg (znieczulenie, techniki), po rekonwalescencję. Zmniejsz obawy i dowiedz się, co Cię czeka!
Haluksy bez operacji? Poznaj skuteczne domowe sposoby, ćwiczenia, ortezy i wkładki. Złagodź ból i zahamuj postęp deformacji. Sprawdź, jak dbać o stopy!
Zmagasz się z bolącymi haluksami? Sprawdź nasz poradnik! Poznaj domowe sposoby, leki bez recepty i profesjonalne leczenie, by odzyskać komfort.
Jakie buty na haluksy wybrać? Odkryj kluczowe cechy idealnego obuwia, porady zakupowe i marki, które zapewnią komfort oraz styl na każdą okazję.
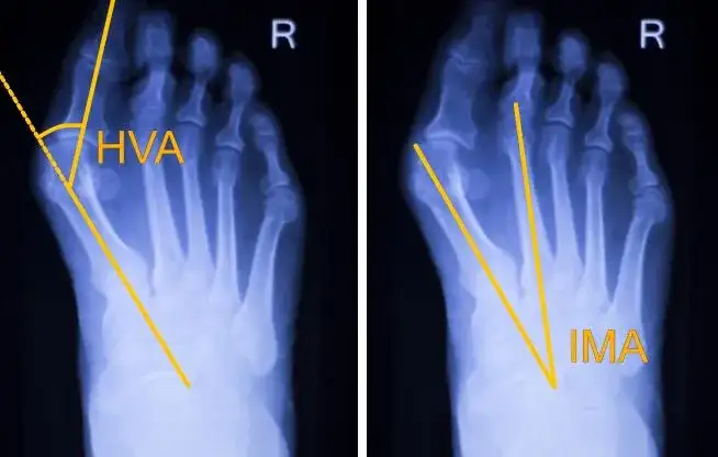
Rozpoznaj haluksy po wyglądzie i objawach. Dowiedz się, co dzieje się ze stopą, jakie są przyczyny i kiedy iść do specjalisty. Nie ignoruj problemu!